История улыбки Эбру
Путешествие Эбру по преображению улыбки
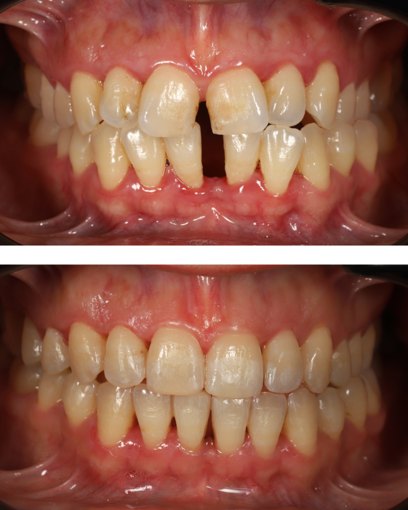
Путешествие Эбру с OD Clinic отражает, как тщательно спланированное ортодонтическое лечение может восстановить баланс и гармонию улыбки. Она обратилась с заметным передним открытым прикусом и проблемами выравнивания, которые повлияли как на эстетику, так и на функцию. Отсутствие контакта между верхними и нижними передними зубами, а также скученность в нижнем зубном ряду создавали несбалансированный прикус и снижали функциональную эффективность.


Лечение
Ортодонтическое лечение для коррекции прикуса и выравнивания зубов
Показания Эбру
“Я хотела, чтобы моя улыбка выглядела естественно и ощущалась комфортно. Правильный прикус и возможность нормально пользоваться зубами были для меня очень важны.”
Подход к лечению
После детальной ортодонтической оценки и планирования лечения был реализован структурированный подход для восстановления как прикуса, так и функционального баланса.
Зубы постепенно выравнивались, с коррекцией скученности и улучшением формы нижнего зубного ряда. Передний открытый прикус был тщательно закрыт посредством контролируемого перемещения зубов, что позволило верхним и нижним резцам достичь правильного контакта.
Особое внимание было уделено установлению стабильного окклюзионного соотношения, обеспечивающего сбалансированные контакты как в переднем, так и в заднем отделах.
Трансформация и результаты:
Конечный результат достиг как эстетического, так и функционального улучшения. Улыбка Эбру теперь стала более гармоничной и ровной, с правильным контактом между передними зубами и сбалансированным прикусом.
Помимо визуального преображения, лечение восстановило нормальную жевательную функцию и улучшило общую стабильность прикуса. Эти изменения способствуют долгосрочному здоровью зубов и помогают предотвратить будущий износ или проблемы, связанные с суставами.
Этот случай демонстрирует, как тщательно спланированное ортодонтическое лечение может успешно исправить сложные состояния, такие как передний открытый прикус, обеспечив стабильный, естественный и функциональный результат.

