История улыбки Ахмеда
Ahmad's Smile Transformation Journey
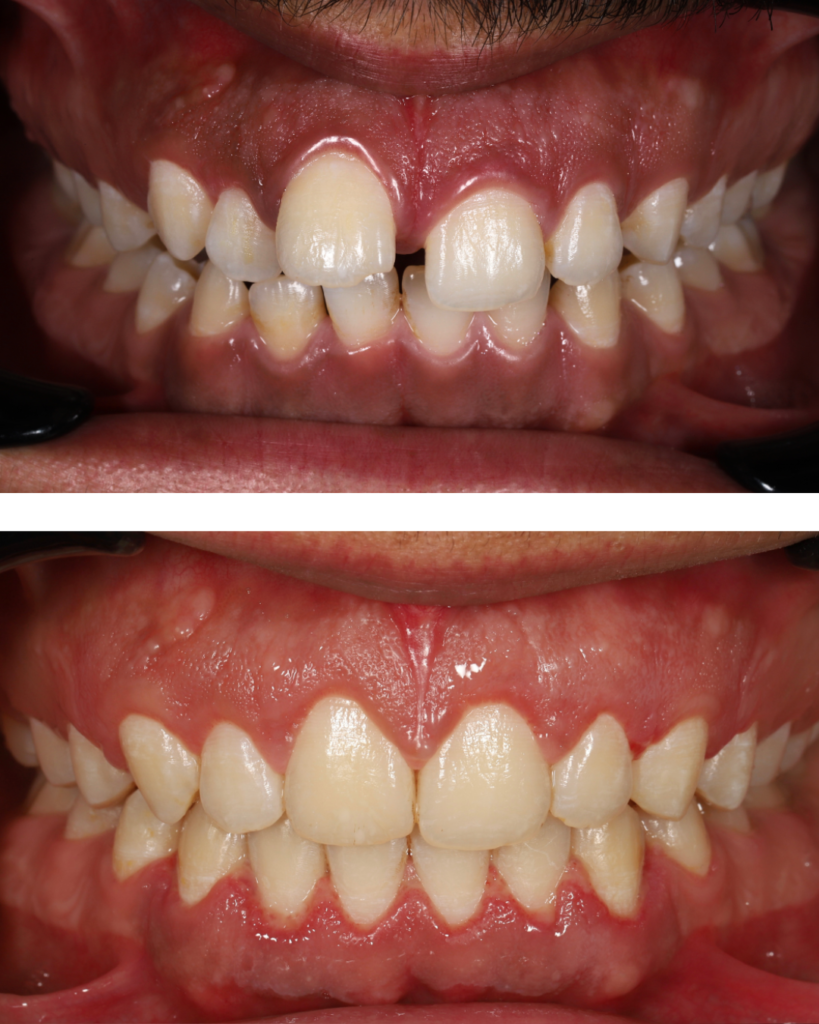
Ahmad’s journey with OD Clinic reflects how carefully planned orthodontic treatment can restore balance and harmony to the smile. He presented with noticeable crowding, rotations, and irregular contact between the teeth, which affected both aesthetics and function. These alignment issues resulted in an unbalanced bite and reduced functional efficiency, requiring a structured approach to achieve both visual and functional improvement.


Лечение
Orthodontic Treatment
Alignment Correction and Occlusal Balancing
Testimony By Ahmad
“I wanted my teeth to look more aligned and feel more comfortable. Having a balanced bite and a natural looking smile was very important to me.”
Процесс создания идеальной улыбки
Following a detailed orthodontic evaluation and comprehensive treatment planning,
The treatment began with careful leveling and alignment of the teeth, gradually guiding them into an ideal arch form. Rotations in the anterior region were corrected through controlled orthodontic movements, allowing each tooth to be repositioned into its optimal location within the arch. Particular attention was given to the lower anterior segment, where crowding and irregular positioning were most pronounced.
As alignment progressed, focus shifted toward refining the relationships between the upper and lower teeth. Contact points between the anterior teeth were carefully re-established to ensure proper incisal function, while posterior occlusion was adjusted to create a stable and balanced bite.
Throughout the process, tooth movements were planned to preserve natural tooth structure while improving both aesthetics and long-term function. The goal was not only to achieve visual alignment, but also to establish a harmonious occlusal relationship that supports efficient chewing and overall oral health.
Трансформация и результаты:
The final result achieved both aesthetic and functional improvement. Ahmad’s smile is now more aligned, balanced, and natural, with proper contact between the teeth and a stable bite relationship.
In addition to the visual improvement, the treatment enhanced chewing function, ensured more even distribution of forces, and contributed to long-term gum and dental health.
This case demonstrates how carefully planned orthodontic treatment can restore natural alignment and function while preserving the integrity of the patient’s teeth.

