What is Orthodontics?
Unfortunately, not everyone is born with straight teeth. At our clinic in Alanya, we offer a wide range of orthodontic services, including traditional braces, clear aligners, and other advanced treatments to help you achieve the smile you’ve always wanted.
Orthodontics is a branch of dentistry focused on diagnosing, preventing, and treating dental and facial irregularities. The goal of orthodontic treatment is to straighten teeth, correct bite issues, and improve overall oral function and aesthetics. This is typically achieved through devices like braces (metal brackets) or clear aligners (Invisalign).
What are Dental Braces?
Braces are the traditional and most common method of orthodontic treatment. They involve brackets made of stainless steel that are attached to the teeth and connected by wires. These braces are highly effective for treating a wide variety of dental misalignments and bite issues. Metal braces can be customized with different colors, allowing patients to personalize their treatment.
What are Clear Aligners?
Clear Aligners are an alternative to traditional braces. These aligners are custom-made, transparent trays that fit over the teeth and gradually move them into the desired position. The aligners are nearly invisible and can be removed for eating, brushing, and flossing, offering more convenience and comfort compared to traditional braces.
Braces vs Clear Aligners
Which One is Suitable for You?
Both clear aligners and braces straighten teeth for a great smile. Here’s a comparison:
Clear Aligners:
Nearly invisible with their transparent design.
Easily removable for eating, drinking, or brushing your teeth.
Comfortable to wear, with no irritation to the mouth.
Braces:
Highly effective for addressing more complex dental issues
Fixed design ensures continuous treatment without interruptions
Customizable with metal, ceramic, or colorful bands for a personalized touch
Which Option Is Best for You? Our dentist will determine the most suitable option based on your dental structure and needs.
Why OD Clinic ?
Expert Orthodontic Care: Led by Dr. Orhan Deniz, our team has extensive experience in treating a wide range of orthodontic cases with over 5,000 successful treatments.
Personalized Treatment Plans: We understand that each patient is unique, and so we offer customized treatment plans to suit your specific needs.
Advanced Technology: We utilize 3D scanners, digital imaging, and modern X-ray equipment to ensure precise diagnostics and treatment planning. This allows us to achieve excellent results with high accuracy.
Flexible Payment Plans: To make your orthodontic treatment more affordable, we offer various payment options that cater to your budget and needs, making it easier for you to start your journey to a better smile.
Comprehensive Care: From the initial consultation to the final stages of treatment, we provide thorough care and guidance at every step.
Orthodontic concerns and best solutions
- Crowded Teeth
- Gap Teeth
-
Deep Bite
- Openbite
- Crossbite
Crooked Teeth
Split Teeth
Separated teeth are gaps that are usually seen between the front teeth. Braces and clear aligners close these gaps, improving both appearance and function and providing a more confident smile.
Deep Bite
Deep bite is a condition in which the upper front teeth overlap the lower front teeth vertically. Braces and clear aligners effectively treat this condition by correcting tooth positions, improving bite, chewing function and smile aesthetics.
Openbite
An open bite can lead to chewing problems and accelerate the wear of the back teeth. Both braces and clear aligners are effective treatment options for correcting an open bite. They restore function and aesthetically improve the smile.
Crossbite
Crossbite is a condition in which the upper teeth are positioned behind the lower teeth. This malocclusion can cause both aesthetic and functional problems. Braces and clear aligners effectively correct most cases of crossbite, improve chewing function and restore a correct bite.
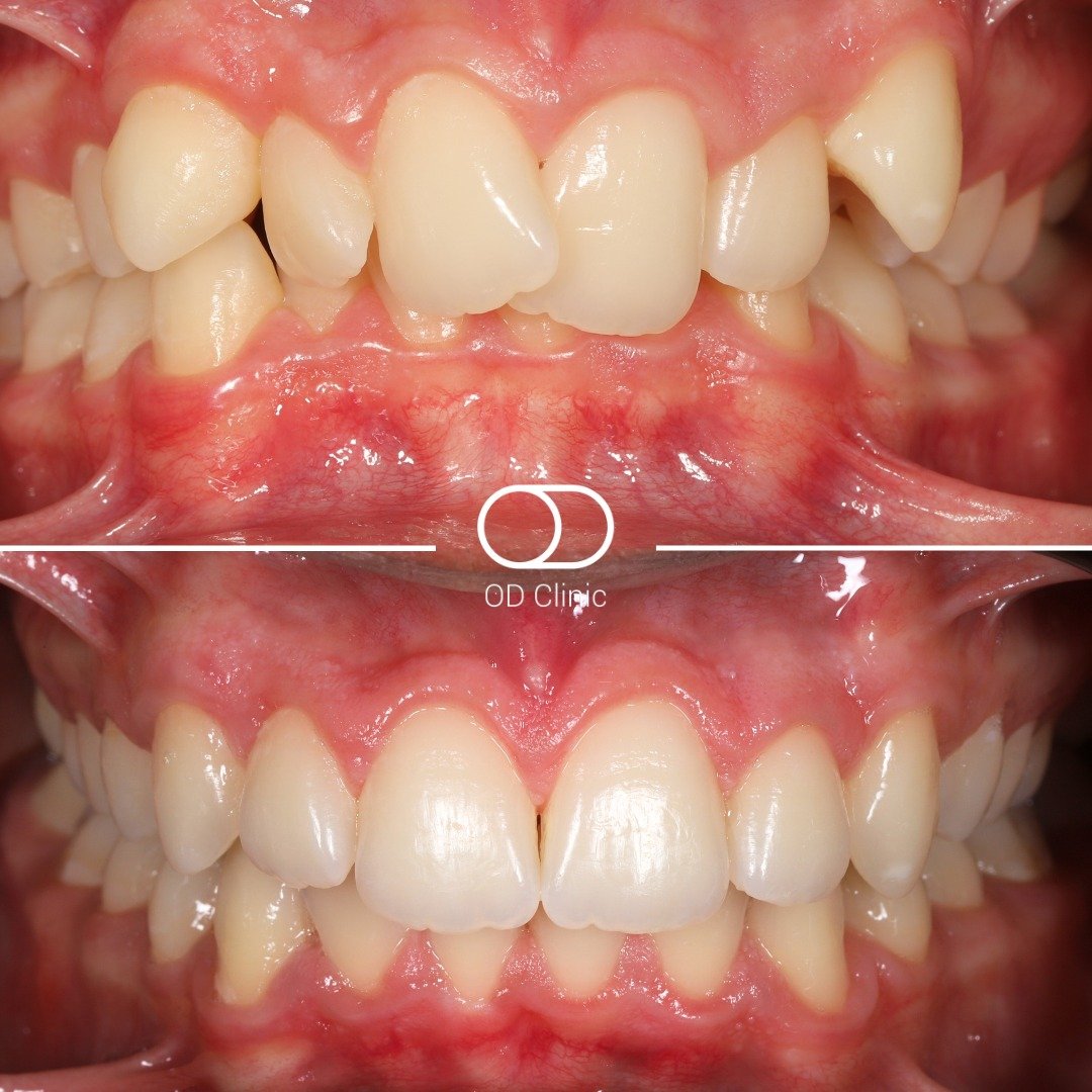
See the Difference Orthodontics Can Make








Dental ORTHODONTICS FAQs
What age is best to start orthodontic treatment?
Orthodontic treatment can begin at any age, but it is ideal to start during the early teen years when the jawbones are still growing. However, many adults also benefit from orthodontic care, especially with the availability of more discreet options like clear aligners.
How often do I need to visit the orthodontist?
You will typically need to visit the orthodontist every 4 to 8 weeks for adjustments and to monitor your progress.
How long does orthodontic treatment take?
The duration of treatment varies depending on the severity of the issue being treated, but on average, it lasts between 12 to 36 months.
Are there any alternatives to braces?
Yes, clear aligners such as Invisalign are a popular alternative to traditional braces. They are nearly invisible, removable, and more comfortable, though not suitable for all cases.
What are the different types of braces?
Traditional Metal Braces: These are the most common and consist of metal brackets and wires.
Ceramic Braces: Similar to metal braces but with clear or tooth-colored brackets.
Clear Aligners (Invisalign): Transparent trays that gradually shift your teeth.
GET READY TO LOVE YOUR SMILE WITH OD CLINIC ORTHODONTICS ALANYA TURKEY
OD CLINIC Best Dental Clinic In TURKEY

