Svetlana's Smile Story
Svetlana's Smile Transformation Journey
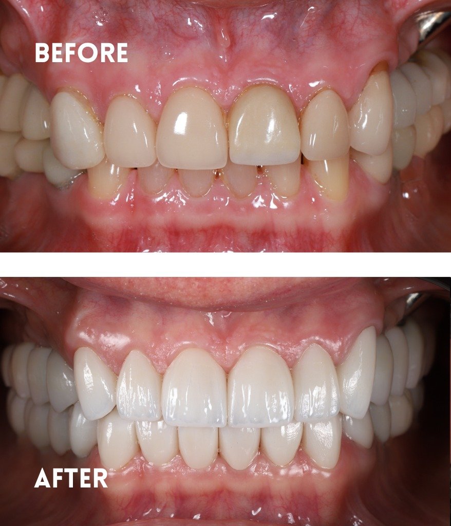
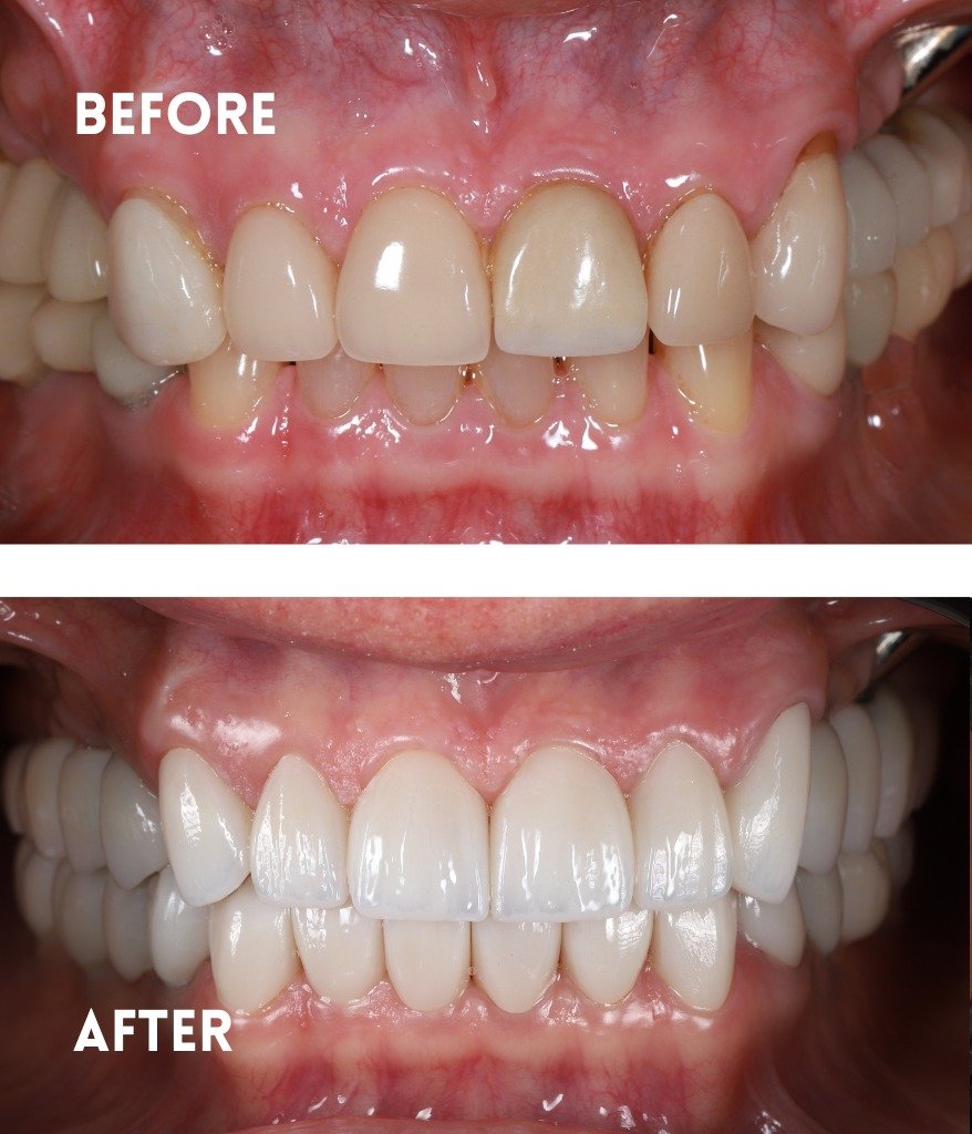
Svetlana’s journey with OD Clinic reflects how advanced restorative dentistry can bring harmony back to even the most complex smiles. Arriving from Kazakhstan with previously placed implants, including zygomatic and pterygoid implants, she had already completed the surgical phase of treatment. However, despite this foundation, her smile appeared noticeably uneven due to a significant smile cant, and her bite lacked proper balance.


Treatment
Full Arch Rehabilitation
Smile Line Correction and Occlusal Reconstruction
Final Restorations:
• 14 Zirconia Crowns
• 16 Implant Supported Screwmented Zirconia Crowns
Additional Procedure:
• Gingivectomy (gum contouring)
Testimony By Svetlana
"I had already gone through treatment before, but my smile still didn’t feel right. I wanted it to look straight, natural, and comfortable again. From the very beginning, the team understood exactly what I was hoping to achieve. Seeing my new smile for the first time was an emotional moment — now I can smile with confidence and feel completely at ease."
The Process of Designing Smile
• Comprehensive evaluation and digital planning were performed to analyze the smile line, facial symmetry, and bite relationship.
• Existing zygomatic and pterygoid implants were assessed to ensure a stable restorative foundation.
• Gingivectomy refined gum contours and improved soft tissue harmony.
• Occlusion was corrected to establish a balanced and functional bite.
• Final zirconia restorations were delivered using tooth supported and implant supported screwmented crowns for strength and natural aesthetics.
The Transformation and Results:
Svetlana’s smile transformation wasn’t just about correcting teeth; it was about enhancing her confidence and quality of life. With each stage of the process, from restoring vertical dimensions to perfecting her gum line, her smile evolved into something both beautiful and functional.
When Svetlana first saw her new smile, it was a moment of joy and relief. “I can’t believe this is me. My smile is natural, straight, and I feel so much more confident,” she shared.
The result was more than just a cosmetic change. It was a transformation that affected every aspect of her life, bringing her the self-assurance she had longed for.

